コンテンツへスキップ
ナビゲーションに移動
ホーム
行事予定
光蔭
小噺
動画
教師紹介
ギャラリー
Q&A
アクセスマップ
プライバシーポリシー
アーカイブ
お問い合わせ
教師紹介
HOME
教師紹介
ステッカ―
20190517開教80年記念祭のステッカー
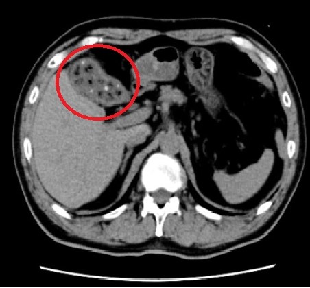
術後の胆石の数
心臓 レントゲン定期健診
赤〇胆嚢全摘手術
MENU
ホーム
行事予定
光蔭
小噺
動画
教師紹介
ギャラリー
Q&A
アクセスマップ
プライバシーポリシー
アーカイブ
お問い合わせ
PAGE TOP